
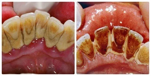
Cao răng là những mảng bám bám chặt vững chắc vào bề mặt răng theo thời gian. Tuy nhiên, nhiều người vẫn còn chủ quan việc chăm

Hô răng là một tình trạng phổ biến, không chỉ ảnh hưởng đến thẩm mỹ khuôn mặt mà còn gây ra những vấn đề về sức khỏe

Cao răng bị vỡ là hiện tượng khá phổ biến, nhưng không phải ai cũng biết cách xử lý đúng cách khi gặp phải tình trạng này.

Chụp X quang răng là điều cần thiết khi thực hiện các phương pháp nha khoa hiện nay. Phương pháp này giúp cho nha sĩ nắm rõ

Chụp CT Conebeam là một công nghệ chụp cắt lớp vi tính sử dụng tia X, giúp tạo ra hình ảnh 3D chi tiết của các cấu

Chụp CT Conebeam là một công nghệ hiện đại, đặc biệt được ứng dụng rộng rãi trong các lĩnh vực nha khoa như chỉnh nha, cấy ghép











