Bạn cảm thấy ê buốt, khó chịu mỗi khi ăn đồ nóng hoặc đồ lạnh? Đó có thể là do men răng bị mòn gây ảnh hưởng đến sức khỏe răng miệng. Nếu không bảo vệ men răng đúng cách có thể gây tổn thương men răng và mòn răng. Vậy bệnh mòn răng là gì ? Nguyên nhân gây ra bệnh này là gì ? Hãy cùng Nha khoa DrGreen tìm hiểu và khám phá những cách điều trị hiệu quả hiện tượng răng bị mòn an toàn nhất trong bài viết bên dưới
Thế nào là bệnh mòn răng ?
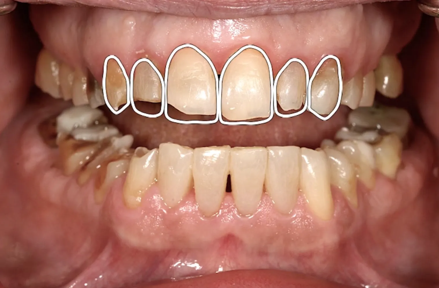
Men răng là lớp nằm ngoài cùng, bảo vệ ngà răng bên trong. Với đặc tính mỏng và dẻo dai, men răng có thể trụ vững khi răng thực hiện các động tác nhai, gặm, cắn,… trong một thời gian dài.
Thế nhưng, nếu không được chăm sóc cẩn thận, lớp men răng này có thể bị mài mòn. Từ đó làm cho ngà răng bị hở ra, không còn khả năng bảo vệ tốt cho răng. Lâu dài dẫn đến các cơn đau, ê buốt xung quanh răng. Đây chính là hiện tượng răng bị mòn
Bệnh mòn răng có thể được chia thành 4 nhóm như sau:
- Mòn răng sinh lý: Đây là quá trình mòn men răng tự nhiên. Hiện tượng này do sự ma sát của các răng đối đầu. Thông thường, răng mặt nhai sẽ bị mòn trước. Sau đó mới đến các núm răng dưới và núm răng trên.
- Mòn răng hóa học: Tình trạng này là do men răng tiếp xúc với axit. Trong đó axit thường từ nước trái cây hoặc dịch vị trong dạ dày. Loại mòn men răng này có thể gây ra các vấn đề răng miệng. Từ nhẹ như đổi màu răng đến nặng hơn là mất răng.
- Mòn răng bệnh lý: Đây là hiện tượng mất men răng do sự ma sát giữa các răng. Hoặc các tác động từ bên ngoài như đánh răng quá mạnh, cắn vật cứng,…
- Tiêu cổ răng: Tình trạng mòn men răng này là do chải răng không đúng cách. Việc chải răng sai trong thời gian dài, khiến phần lớp men tại cổ răng bị mài mòn.

Răng bị mòn có ảnh hưởng như thế nào?
Răng bị mòn gây ảnh hưởng đến chức năng nhai của răng. Lâu dài tạo nên các tác động tiêu cực khác ở khoang miệng như sau:
Gây ê buốt răng: Lớp men răng bên ngoài rất cứng. Lớp này giúp bảo vệ ngà răng và tủy răng bên trong. Khi lớp men bị bào mòn sẽ bộc lộ phần ngà răng. Trong đó bao gồm các ống ngà nối trực tiếp với dây thần kinh bên trong. Nếu dùng thức ăn quá nóng, quá lạnh, hoặc vị chua thì sẽ truyền cảm giác đến dây thần kinh. Từ đó tạo cho bạn cảm giác ê buốt, khó chịu.
Dễ gây các bệnh lý răng miệng: Lớp men bảo vệ răng bị bào mòn sẽ tạo điều kiện cho các vi khuẩn tấn công gây nên tình trạng sâu răng. Bên cạnh đó, mặt nhai răng bị ăn mòn nặng dễ gây tổn thương tủy răng, viêm tủy, chết tủy răng.
Tổn thương khớp hàm: Mòn men răng ở mặt nhai làm giảm năng suất nhai. Khi đó cơ nhai sẽ có xu hướng hoạt động nhiều hơn để đủ khả năng nghiền thức ăn. Tình trạng này kéo dài và không được điều trị sẽ gây có thắt cơ, tổn thương khớp hàm.
Ảnh hưởng thẩm mỹ: Mòn cổ răng tạo các vết lõm hình chữ V gây mất thẩm mỹ. Đồng thời quá trình mòn men răng cũng khiến răng chuyển màu sắc sang màu vàng hoặc nâu. Việc này sẽ tạo cảm giác tự ti ngại giao tiếp.

Nguyên nhân gây ra bệnh mòn răng
Phần lớn các trường hợp bị bệnh mòn răng là do các tác nhân cơ học gây ra như:
- Chải răng không đúng cách: Chải răng theo ngang và quá mạnh sẽ làm mòn và mất đi lớp men răng bên ngoài.
- Thường xuyên sử dụng một số loại thực phẩm có chứa axit cao: Đồ ngọt, nước có gas, các loại trái cây có axit cao như cam, chanh, bưởi, … nếu sử dụng thường xuyên cũng sẽ làm mòn men răng.

- Bệnh trào ngược dạ dày: Trào ngược axit dạ dày làm tăng khả năng răng tiếp xúc với axit. Từ đó dẫn đến mòn mặt nhai của răng.
- Bệnh khô miệng: Bệnh khô miệng là tình trạng tuyến nước bọt ít tiết ra. Vì vậy, khi ăn uống chất axit từ thực phẩm sẽ lưu lại trên răng lâu hơn. Từ đó dẫn đến mòn men răng.
- Thói quen: Thường xuyên cắn, nhai thức ăn quá mạnh, ăn đồ cứng. Cắn móng tay, nghiến răng khi ngủ, … Đó là những thói quen xấu làm mòn hoặc thậm chí có thể vỡ men răng.
- Di truyền, cơ địa: Răng bị mòn mặt nhai cũng có thể là do di truyền hoặc cơ địa. Men răng yếu, dễ bị vỡ và bào mòn.

Ngoài ra, mòn mặt nhai của răng cũng có thể là một bệnh lý do thiểu sản men răng. Hoặc các bệnh lý khác gây ra như đau khớp hàm. Từ đó gây ảnh hưởng đến việc nhai và cọ xát giữa hai hàm răng
Các cách khắc phục hiệu quả bệnh mòn răng
Trám răng
Có nhiều chất liệu trám răng khác nhau. Tùy vào tình trạng tổn thương mà bác sĩ sẽ lựa chọn chất liệu phù hợp. Sau đó bác sĩ trám các vết lõm trên bề mặt nhai của răng.
Trám răng là một trong những phương pháp phổ biến, dễ tiến hành. Ngoài ra thời gian thực hiện nhanh chóng cùng chi phí hợp lý. Tuy nhiên, đây chỉ là giải pháp tạm thời, bởi miếng trám có thể bị bong tróc. Sau đó sẽ đổi màu theo thời gian. Khi đó, người bệnh cần phải trám răng lại.

Dán miếng sứ
Đối với trường hợp răng bị mòn dần, người bệnh cảm thấy ê buốt nhiều khi ăn. Vì vậy dán miếng sứ sẽ là phương pháp phù hợp nhất, giúp hạn chế tình trạng mòn răng. Đặc biệt mang lại tính thẩm mỹ cao.
Bên cạnh đó, dán miếng sứ còn có tác dụng làm dài phần thân răng. Tuy nhiên, phương pháp này lại không phù hợp với tình trạng răng bị lệch khớp cắn hoặc răng mọc lệch.

Bọc răng sứ
Bọc răng sứ là cách khắc phục hiệu quả và bền vững. Với phương pháp này răng được bọc thêm một lớp sứ trùng với khuôn thân răng. Chúng giúp bảo vệ ngà răng cũng như tủy răng bên trong. Bọc răng sứ còn hạn chế tối đa tình trạng mòn men răng. Đồng thời vẫn hỗ trợ tối đa chức năng nhai của răng.
Với trường hợp ngà răng bị lộ ra ngoài, ê buốt nặng, bọc răng sứ là cách bảo vệ tốt nhất. Đồng thời giúp hạn chế các tác động cũng như vi khuẩn bên ngoài làm hại răng. So với phương pháp trám răng, bọc răng sứ là phương pháp thẩm mỹ có chi phí tương đối cao.
Để bọc răng sứ, bạn nên các cơ sở nha khoa uy tín. Nha Khoa DrGreen là thương hiệu nha khoa đạt chuẩn quốc tế. Chúng tôi quy tụ đội ngũ bác sĩ giàu kinh nghiệm. Ngoài ra sở hữu hệ thống máy móc hỗ trợ hiện đại, tiên tiến bậc nhất. Tất cả mang đến những trải nghiệm tuyệt vời cho quý khách hàng.

Cách phòng ngừa bị mòn răng
Để phòng tránh mòn răng, các nha sĩ khuyên nên chú ý những điều sau:
- Đánh răng ít nhất 2 lần mỗi ngày, mỗi lần 2 phút, không chải răng quá mạnh.
- Dùng bàn chải có phần lông mềm và kem đánh răng có chứa fluor.
- Sau khi đánh răng, nên súc miệng lại với nước muối sinh lý. Nước muối sẽ giúp loại bỏ vi khuẩn, mảng bám còn sót lại.
- Ngay sau khi tiếp xúc với thức ăn, nước uống có chứa axit, súc miệng bằng nước, sữa hoặc nước súc miệng có chứa fluor.
- Uống nhiều nước trong ngày, đặc biệt giữa các bữa ăn.
- Tránh hoặc giảm thiểu việc ăn uống có chứa axit. Hạn chế thức uống có chứa axit trong bữa ăn. Sau khi ăn nên súc miệng lại thật kỹ bằng nước sạch hoặc nước muối sinh lý. Không cần chải răng quá nhiều lần trong ngày.
- Uống những thức uống có chứa axit bằng ống hút. Đặt ống hút vào sau các răng trước, khoảng giữa lưỡi.
- Sau khi ăn 30 phút hãy đánh răng để nước bọt giúp làm trung hòa men răng.
- Nhai kẹo cao su để tăng tiết nước bọt.
- Nha sĩ có thể cho toa thuốc bao gồm các loại thuốc có chứa fluor.
Xem thêm:
- Chứng nghiến răng khi ngủ là gì ? Có nguy hiểm không ?
- Răng kẹ có nguy hiểm không ? Có nên nhổ răng kẹ
Mòn răng hoàn toàn có thể ngăn chặn được bằng cách thay đổi thói quen chăm sóc vệ sinh răng miệng hàng ngày và có chế độ dinh dưỡng hợp lý. Để được tư vấn cụ thể, hãy liên hệ Nha khoa DrGreen theo thông tin bên dưới
Hotline: 0936.996.609
Fanpage: https://www.facebook.com/nhakhoadrgreen
Website: nhakhoadrgreen.vn
Hệ thống Nha khoa Dr Green:
- 40B Lạch Tray, Ngô Quyền, Hải Phòng
- HDS11 Vinhomes Marina, Lê Chân, Hải Phòng
- 38 Tân Dương, Thủy Nguyên, Hải Phòng
- 43 Trần Phú, Cẩm Phả, Quảng Ninh












