Cao răng bám dày là vấn đề răng miệng phổ biến, gây khó chịu và ảnh hưởng đến sức khỏe tổng thể. Không chỉ làm mất thẩm mỹ nụ cười, cao răng còn là môi trường lý tưởng cho vi khuẩn phát triển, dẫn đến các bệnh lý nghiêm trọng như viêm lợi, viêm nha chu, thậm chí là mất răng. Bài viết này sẽ cung cấp thông tin chi tiết về tình trạng cao răng bám dày, từ nguyên nhân, dấu hiệu nhận biết, ảnh hưởng đến sức khỏe, cho đến các phương pháp điều trị và phòng ngừa hiệu quả. Chúng ta sẽ cùng tìm hiểu cách để ‘chữa cháy’ khi cao răng đã bám dày và xây dựng một kế hoạch phòng ngừa bền vững để bảo vệ sức khỏe răng miệng.
Nguyên nhân gây nên cao răng bám dày
Để hiểu rõ về cách phòng ngừa cao răng bám dày, trước tiên chúng ta cần nắm bắt được những nguyên nhân chính dẫn đến tình trạng này. Cao răng, hay vôi răng, hình thành do quá trình tích tụ mảng bám răng trong thời gian dài. Mảng bám là một lớp màng dính, mềm chứa vi khuẩn, thức ăn thừa và các tế bào chết, bám trên bề mặt răng. Nếu không được loại bỏ thường xuyên bằng cách chải răng đúng cách và sử dụng chỉ nha khoa, mảng bám sẽ dần cứng lại nhờ các khoáng chất có trong nước bọt, tạo thành cao răng.
- Vệ sinh răng miệng kém: Đây là nguyên nhân hàng đầu. Việc không chải răng đúng cách, không sử dụng chỉ nha khoa hoặc nước súc miệng thường xuyên tạo điều kiện cho mảng bám tích tụ và hình thành cao răng.
- Chế độ ăn uống không hợp lý: Tiêu thụ nhiều thực phẩm chứa đường và tinh bột cung cấp nguồn thức ăn dồi dào cho vi khuẩn trong miệng, thúc đẩy sự hình thành mảng bám và cao răng.
- Lượng fluoride không đủ: Fluoride có tác dụng củng cố men răng và hạn chế sự phát triển của vi khuẩn. Thiếu fluoride có thể làm tăng nguy cơ hình thành cao răng.
- Khô miệng: Nước bọt có vai trò quan trọng trong việc rửa trôi thức ăn thừa và trung hòa axit trong miệng. Khô miệng làm giảm lưu lượng nước bọt, tạo điều kiện cho mảng bám tích tụ.
- Hút thuốc lá: Thuốc lá làm giảm lưu lượng nước bọt, gây kích ứng nướu và làm tăng nguy cơ hình thành cao răng.
- Yếu tố di truyền: Một số người có xu hướng dễ hình thành cao răng hơn do cấu trúc răng và thành phần nước bọt.
Khi các yếu tố này kết hợp lại, mảng bám sẽ bám chặt vào răng và khoáng hóa nhanh chóng, dẫn đến cao răng bám dày. Đặc biệt, những vị trí khó tiếp cận như mặt sau của răng hàm, kẽ răng thường là nơi cao răng tích tụ nhiều nhất.

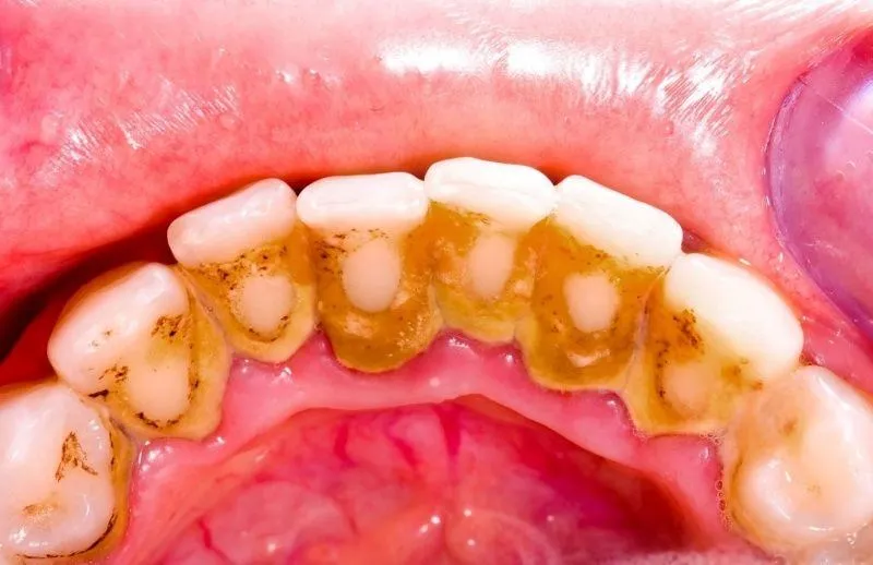
Dấu hiệu nhận biết cao răng bám dày
Cách phát hiện cao răng bám dày đôi khi không dễ dàng, đặc biệt khi cao răng hình thành ở những vị trí khuất. Tuy nhiên, có một số dấu hiệu cảnh báo bạn nên chú ý:
- Mảng bám vàng hoặc nâu: Quan sát kỹ bề mặt răng, bạn có thể thấy các mảng bám có màu vàng hoặc nâu, bám chặt và khó loại bỏ bằng bàn chải thông thường.
- Hôi miệng: Cao răng là nơi trú ngụ của vi khuẩn gây hôi miệng. Nếu bạn thường xuyên bị hôi miệng dù đã vệ sinh răng miệng kỹ lưỡng, rất có thể bạn đang bị cao răng bám dày.
- Lợi bị viêm, sưng đỏ và chảy máu: Khi cao răng kích thích nướu, nướu sẽ bị viêm, sưng đỏ và dễ chảy máu khi chải răng hoặc dùng chỉ nha khoa.
- Răng bị lung lay: Nếu cao răng không được xử lý kịp thời, nó có thể gây ra viêm nha chu, phá hủy cấu trúc xương hàm và làm răng bị lung lay.
- Dấu ốm khi ăn với cao răng bám dày: Bạn có thể cảm thấy khó chịu, đau nhức khi ăn đồ nóng, lạnh hoặc đồ ngọt nếu cao răng đã lan xuống dưới đường viền nướu, gây kích ứng dây thần kinh.
- Sự thay đổi màu sắc của răng: Cao răng có thể làm răng bị xỉn màu, mất thẩm mỹ.
Nếu bạn nhận thấy bất kỳ dấu hiệu của cao răng bám dày nào, hãy đến gặp bác sĩ nha khoa để được kiểm tra và điều trị kịp thời.
Ảnh hưởng tới sức khỏe nếu không xử lý
Việc bỏ qua tình trạng cao răng bám dày không chỉ gây ảnh hưởng đến sức khỏe răng miệng mà còn có thể dẫn đến các vấn đề nghiêm trọng khác:
- Viêm lợi và viêm nha chu: Đây là những bệnh lý phổ biến do cao răng gây ra. Viêm lợi có thể gây sưng, đỏ và chảy máu nướu. Nếu không được điều trị, viêm lợi có thể tiến triển thành viêm nha chu, phá hủy cấu trúc xương hàm và dẫn đến mất răng.
- Sâu răng: Cao răng tạo điều kiện cho vi khuẩn phát triển mạnh, gây ra sâu răng.
- Mất răng: Viêm nha chu do cao răng gây ra là nguyên nhân chính dẫn đến mất răng ở người lớn.
- Các bệnh lý toàn thân: Nghiên cứu đã chỉ ra rằng có mối liên hệ giữa bệnh nha chu và các bệnh lý tim mạch, tiểu đường, hô hấp và các biến chứng khi mang thai. Vi khuẩn từ nướu bị viêm có thể xâm nhập vào máu và gây ra các vấn đề sức khỏe nghiêm trọng.
Do đó, việc điều trị và phòng ngừa cao răng bám dày là vô cùng quan trọng để bảo vệ sức khỏe răng miệng và sức khỏe tổng thể.

Phương pháp điều trị và cách phòng ngừa
Phương pháp điều trị cao răng bám dày hiệu quả nhất là lấy cao răng bằng các dụng cụ chuyên dụng tại phòng khám nha khoa. Có hai kỹ thuật chính:
- Lấy cao răng bằng siêu âm: Đây là kỹ thuật phổ biến nhất, sử dụng máy siêu âm để phá vỡ các lớp cao răng cứng đầu trên bề mặt răng và dưới đường viền nướu.
- Lấy cao răng bằng máy RootScaler: Máy RootScaler tạo ra các rung động nhẹ nhàng để loại bỏ cao răng, đặc biệt phù hợp với những trường hợp cao răng bám sâu dưới đường viền nướu.
Sau khi lấy cao răng, bác sĩ có thể khuyên bạn sử dụng các sản phẩm chăm sóc răng miệng đặc biệt như nước súc miệng chứa fluoride hoặc gel làm sạch sâu để giúp ngăn ngừa sự hình thành lại của cao răng.
Để phòng ngừa cao răng bám dày, bạn nên thực hiện các biện pháp sau:
- Chải răng đúng cách ít nhất hai lần mỗi ngày: Sử dụng bàn chải lông mềm và kem đánh răng có chứa fluoride. Chải răng theo từng vùng, đảm bảo làm sạch tất cả các bề mặt răng.
- Sử dụng chỉ nha khoa hàng ngày: Chỉ nha khoa giúp loại bỏ mảng bám và thức ăn thừa ở những vị trí bàn chải không thể tiếp cận được.
- Súc miệng bằng nước muối loãng hoặc nước súc miệng chuyên dụng: Nước súc miệng giúp loại bỏ vi khuẩn và làm sạch miệng.
- Khám răng định kỳ 6 tháng/lần: Bác sĩ nha khoa sẽ kiểm tra sức khỏe răng miệng của bạn và lấy cao răng nếu cần thiết.
- Ăn uống lành mạnh: Hạn chế tiêu thụ thực phẩm chứa đường và tinh bột. Tăng cường ăn rau xanh và trái cây.
- Uống đủ nước: Nước giúp rửa trôi thức ăn thừa và duy trì độ ẩm cho miệng.
Kỹ thuật phòng ngừa cao răng bám dày là một quá trình liên tục đòi hỏi sự kiên trì và đều đặn. Việc kết hợp các biện pháp trên sẽ giúp bạn duy trì sức khỏe răng miệng tốt và ngăn ngừa sự hình thành của cao răng.

Câu hỏi thường gặp về cao răng bám dày
Dưới đây là một số câu hỏi thường gặp về cao răng bám dày:
- Lấy cao răng có gây đau không? Quá trình lấy cao răng thường không gây đau, nhưng bạn có thể cảm thấy khó chịu hoặc ê buốt nhẹ.
- Lấy cao răng có làm hỏng men răng không? Nếu được thực hiện đúng kỹ thuật bởi bác sĩ nha khoa có chuyên môn, lấy cao răng sẽ không làm hỏng men răng.
- Cao răng có tự hết được không? Cao răng không tự hết được, bạn cần phải lấy cao răng tại phòng khám nha khoa.
- Làm thế nào để biết mình có cần lấy cao răng không? Nếu bạn nhận thấy bất kỳ dấu hiệu nào của cao răng bám dày như đã đề cập ở trên, hãy đến gặp bác sĩ nha khoa để được kiểm tra.
- Sau khi lấy cao răng, răng có bị ê buốt không? Một số người có thể bị ê buốt răng sau khi lấy cao răng, nhưng tình trạng này thường chỉ kéo dài trong vài ngày.
Nếu bạn có bất kỳ câu hỏi nào khác, đừng ngần ngại liên hệ với chuyên gia tư vấn cao răng bám dày tại Nha Khoa DrGreen để được giải đáp.

Kết luận và lời khuyên
Cao răng bám dày là một vấn đề răng miệng nghiêm trọng, ảnh hưởng đến sức khỏe răng miệng và sức khỏe tổng thể. Việc phát hiện sớm, điều trị kịp thời và phòng ngừa hiệu quả là vô cùng quan trọng. Đừng chủ quan trước những dấu hiệu cảnh báo và hãy chủ động chăm sóc răng miệng đúng cách. Hãy nhớ rằng, nụ cười khỏe mạnh là chìa khóa cho một cuộc sống tự tin và hạnh phúc.
Để tìm hiểu thêm về các bệnh lý răng miệng và các phương pháp điều trị, bạn có thể tham khảo thêm thông tin tại website Nha Khoa DrGreen. Đội ngũ bác sĩ chuyên khoa tại Nha Khoa DrGreen sẽ luôn sẵn sàng tư vấn và hỗ trợ bạn.












