Hiện nay, việc xuất hiện mảng bám cao răng đang trở nên phổ biến với nhiều người. Thông thường khi xuất hiện cao răng, chúng sẽ bám chặt với màu vàng sẫm. Tuy nhiên, một số người chủ quan không đi lấy cao răng. Điều này nếu để lâu có thể khiến cao răng đen dần đi và gây nên biến chứng. Chính vì thế, việc nắm rõ nguyên nhân và cách điều trị cao răng đen rất quan trọng. Trong bài viết này, Nha khoa DrGreen xin chia sẻ chi tiết các bạn những nguyên nhân và cách điều trị hiệu quả hiện tượng cao răng màu đen
Cao răng màu đen là gì?
Cao răng màu đen là những mảng bám cứng đầu hình thành trên bề mặt răng tự nhiên. Điều này xảy ra chủ yếu do sự tích tụ lâu ngày của mảng bám. Những mảng bám này bắt đầu từ thức ăn và vi khuẩn trong khoang miệng. Nếu không được loại bỏ, cao răng có thể dẫn đến nhiều bệnh lý răng miệng nghiêm trọng. Các mảng cao răng này có thể bám rất chặt ở cả thân răng. Thậm chí ảnh hưởng tới phần dưới đường viền nướu.
Ban đầu, cao răng thường có màu vàng nhạt hoặc nâu. Tuy nhiên, theo thời gian sẽ chịu tác động của môi trường axit trong khoang miệng. Lúc này các mảng bám này có thể bị vôi hóa và chuyển sang màu đen. Tình trạng này không chỉ ảnh hưởng đến thẩm mỹ. Nó còn tạo điều kiện thuận lợi cho vi khuẩn phát triển. Từ đó gây viêm nướu và nha chu.
Việc làm sạch cao răng đen bằng vệ sinh răng miệng thông thường là không hiệu quả. Chỉ có thể loại bỏ chúng bằng các thiết bị nha khoa chuyên dụng. Những thiết bị đó chỉ thực hiện dưới sự thực hiện của bác sĩ chuyên môn. Nhiều người lầm tưởng rằng chải răng mạnh có thể làm sạch cao răng. Trên thực tế, điều này không những không hiệu quả. Nó còn có thể gây tổn thương nướu gây chảy máu chân răng.

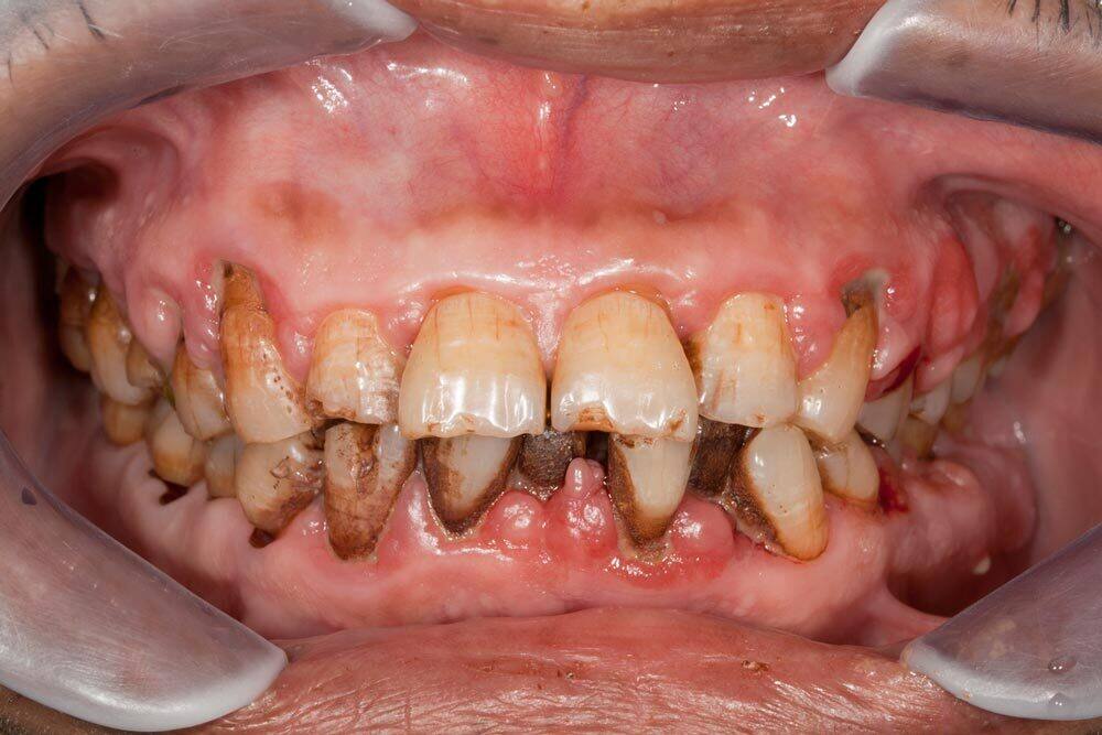
Các dấu hiệu của cao răng màu đen là gì?
Cao răng màu đen là một dạng mảng bám đã bị vôi hóa lâu ngày và nhiễm sắc tố. Phần cao răng này thường xuất hiện tại những vị trí khó làm sạch. Người bệnh có thể dễ dàng nhận biết thông qua các dấu hiệu sau:
- Cao răng đen thường bám chặt ở cổ răng, sát với nướu. Màu sắc có thể dao động từ nâu sẫm đến đen. Điều này tùy mức độ nhiễm sắc tố từ thực phẩm, thuốc lá hoặc các yếu tố khác.
- Bạn có thể nhận biết qua dùng lưỡi hoặc dụng cụ nha khoa chạm vào. Khi chạm vào cao răng đen thường cho cảm giác gồ ghề, cứng chắc. Đồng thời không thể loại bỏ bằng phương pháp đánh răng thông thường.
- Sự tích tụ của vi khuẩn trong mảng cao răng là nguyên nhân chính gây hôi miệng kéo dài. Đây là một trong những dấu hiệu phổ biến khi cao răng không được xử lý kịp thời.
- Cao răng lâu ngày gây kích ứng vùng nướu. Từ đó dẫn đến nướu sưng đỏ, dễ chảy máu khi đánh răng hoặc ăn uống. Nếu không được can thiệp, tình trạng này có thể tiến triển thành viêm nha chu.

Nguyên nhân gây ra cao răng màu đen là gì?
Sâu răng làm cao răng màu đen
Sâu răng là một trong những nguyên nhân phổ biến dẫn đến sự hình thành cao răng màu đen. Tổn thương do sâu răng thường xuất hiện dưới dạng các vết đen nằm dọc theo rãnh nhai. Đây là những vị trí dễ lưu giữ thức ăn và khó làm sạch hoàn toàn. Khi lớp men răng bị phá hủy, các lỗ sâu hình thành. Thông qua đó tạo điều kiện cho thức ăn thừa và vi khuẩn tích tụ lâu ngày. Sau đó, mảng bám phát triển và vôi hóa thành cao răng nếu không được xử lý kịp thời.
Mảng bám từ thực phẩm và thói quen sinh hoạt
Một số người thường xuyên tiêu thụ thực phẩm và đồ uống có màu đậm. Ví dụ như cà phê, trà, socola, rượu vang đỏ hoặc hút thuốc lá. Điều này sẽ khiến các sắc tố bám lại trên bề mặt men răng. Nếu không được làm sạch đúng cách, các mảng màu này sẽ tích tụ dần. Theo thời gian sẽ bám chắc quanh thân răng và dưới nướu. Theo thời gian, chúng có thể chuyển sang nâu đen, tạo thành cao răng màu đen. Đồng thời khó loại bỏ bằng các biện pháp vệ sinh thông thường.

Men răng yếu hoặc khiếm khuyết
Men răng là lớp bảo vệ tự nhiên giúp ngăn ngừa tác động từ vi khuẩn và axit. Tuy nhiên, ở một số người ảnh hưởng yếu tố di truyền. Ngoài ra là các rối loạn trong quá trình phát triển răng. Khi đó men răng có thể bị thiếu hụt hoặc hình thành không đầy đủ. Điều này khiến bề mặt răng dễ bị tổn thương. Thông qua đó khiến răng giảm khả năng bảo vệ trước các tác nhân gây hại. Từ đó tạo điều kiện cho vi khuẩn xâm nhập và hình thành cao răng nhanh chóng hơn.
Ảnh hưởng từ kháng sinh và fluoride
Một số người phải sử dụng dài ngày các loại thuốc kháng sinh. Trong đó đặc biệt là tetracycline trong giai đoạn hình thành răng. Điều này có thể làm đổi màu răng vĩnh viễn và dẫn đến tình trạng cao răng màu đen. Tương tự, một số người có thói quen lạm dụng fluoride mặc dù cần thiết cho sức khỏe răng miệng. Điều này cũng có thể gây ra hiện tượng nhiễm fluor. Từ đó làm xuất hiện các đốm trắng hoặc nâu trên răng. Theo thời gian sẽ ảnh hưởng đến thẩm mỹ và cấu trúc men răng.

Ảnh hưởng của cao răng màu đen tới răng miệng
Gây viêm nướu và viêm nha chu
Cao răng màu đen thường có đặc điểm là rất cứng và bám chắc trên bề mặt răng. Điều này đặc biệt ở vùng dưới nướu. Đây là nơi lý tưởng cho vi khuẩn phát triển và sinh sôi. Các vi khuẩn có hại trong cao răng sẽ kích thích phản ứng viêm tại mô nướu. Từ đó gây sưng đỏ, chảy máu và đau nhức. Nếu không được điều trị kịp thời, viêm nướu sẽ tiến triển thành viêm nha chu. Đây còn là một bệnh lý nghiêm trọng làm tổn thương cấu trúc nâng đỡ răng. Trong đó bao gồm dây chằng nha chu và xương ổ răng.
Gây tụt nướu, tăng nguy cơ mất răng
Một số trường hợp cao răng đen tích tụ lâu ngày ở viền nướu. Lúc này chúng sẽ phá vỡ sự liên kết tự nhiên giữa nướu và thân răng. Điều này dẫn đến hiện tượng tụt nướu. Khi đó phần nướu bị kéo lùi chân răng, làm lộ chân răng nhạy cảm. Bệnh nhân sẽ thường xuyên cảm thấy ê buốt, đau nhức. Cơn đau đặc biệt càng khó chịu khi ăn uống đồ nóng hoặc lạnh. Nếu không được điều trị, hiện tượng tụt nướu kéo dài sẽ làm giảm khả năng nâng đỡ của nướu. Từ đó gây lung lay răng và thậm chí dẫn đến mất răng vĩnh viễn.

Gây tiêu xương hàm
Vi khuẩn tồn tại trong các mảng cao răng màu đen không chỉ ảnh hưởng đến nướu. Nó còn có khả năng tấn công vào xương ổ răng. Quá trình viêm nhiễm kéo dài sẽ gây ra tiêu xương hàm. Trong đó tiêu xương hàm là hiện tượng xương xung quanh chân răng bị tiêu biến. Khi xương hàm bị tổn thương, răng không còn điểm tựa vững chắc. Thông qua đó làm tăng nguy cơ mất răng. Theo thời gian sẽ ảnh hưởng chức năng ăn nhai cũng như thẩm mỹ khuôn mặt.
Gây hôi miệng
Một trong những hệ quả dễ nhận biết của cao răng màu đen là mùi hôi miệng dai dẳng. Trong cao răng tồn tại nhiều loại vi khuẩn kỵ khí. Đây là nhóm vi khuẩn sinh sôi trong môi trường không có oxy. Theo thời gian chúng tạo ra các hợp chất có mùi hôi khó chịu như sulfur. Mùi hôi từ cao răng không chỉ gây bất tiện trong giao tiếp. Nó còn là dấu hiệu cảnh báo sức khỏe răng miệng đang gặp vấn đề nghiêm trọng.

Cách điều trị cao răng màu đen an toàn và hiệu quả
Cách xử lý cao răng đen tạm thời tại nhà
Một số trường hợp cao răng màu đen mới hình thành hoặc chưa tích tụ nhiều. Lúc này bạn có thể áp dụng một số phương pháp hỗ trợ làm sạch tại nhà. Những biện pháp này có thể giúp làm chậm quá trình tích tụ cao răng. Đồng thời cải thiện thẩm mỹ răng miệng ở mức độ nhất định. Tuy nhiên, hiệu quả chỉ mang tính tạm thời trong thời gian. Vì thế cần thực hiện đúng cách để tránh ảnh hưởng đến men răng. Cụ thể bạn có thể dùng những phương pháp sau:
Dùng Baking Soda (muối nở)
- Baking soda có tính kiềm nhẹ và khả năng làm sạch bề mặt răng.
- Làm ẩm bàn chải đánh răng, rắc một ít bột baking soda lên đầu lông bàn chải . Chải nhẹ nhàng trong vòng 1 phút.
- Chỉ nên áp dụng 1–2 lần mỗi tuần. Tránh nguy cơ mài mòn men răng do tính ăn mòn nhẹ của baking soda.
Súc miệng bằng giấm ăn pha loãng
- Axit axetic trong giấm có tác dụng diệt khuẩn và hỗ trợ làm mềm cao răng.
- Trộn 2 thìa cà phê giấm trắng với ½ thìa muối trong một ly nước ấm. Súc miệng 2 lần/ngày.
- Không nên dùng quá thường xuyên. Từ đó tránh làm yếu men răng do tính acid mạnh.
Chà răng bằng vỏ cam
- Vỏ cam chứa limonene – hợp chất tự nhiên có thể hỗ trợ làm sạch mảng bám. Đồng thời trung hòa vi khuẩn.
- Bạn có thể dùng mặt trong của vỏ cam tươi chà trực tiếp lên bề mặt răng trong vài phút.
- Bạn cũng có thể xay nhuyễn vỏ cam thành hỗn hợp nhão. Dùng bàn chải mềm để bôi lên răng, sau đó súc miệng lại bằng nước sạch.

Giải pháp điều trị cao răng đen tại nha khoa
Như đã nói phương pháp điều trị cao răng đen tại nhà chỉ là tạm thời. Vì thế bạn không thể sử dụng một cách lâu dài và bừa bãi được. Lúc này phương pháp được khuyến nghị và có hiệu quả tối ưu nhất để điều trị cao răng màu đen là lấy cao răng tại nha khoa. Phương pháp sẽ làm bằng công nghệ siêu âm chuyên dụng tại các phòng khám nha khoa.
Quy trình điều trị chuyên nghiệp:
- Bác sĩ sử dụng đầu máy siêu âm công suất thấp tiếp xúc trực tiếp vào vùng có cao răng.
- Sóng siêu âm tạo ra rung động làm bong tách mảng vôi bám ra khỏi bề mặt răng. Đồng thời không làm tổn hại đến men răng hay mô nướu xung quanh.
- Thời gian thực hiện nhanh chóng, chỉ từ 20–30 phút tùy vào mức độ tích tụ cao răng.
Lợi ích nổi bật:
- Loại bỏ gần như toàn bộ cao răng, kể cả những vùng dưới nướu.
- Giảm thiểu nguy cơ viêm nướu, hôi miệng và các bệnh lý nha chu.
- Đem lại hàm răng sạch sẽ, sáng màu và hơi thở thơm mát.
- Không gây đau, không tổn thương mô mềm.

Cách phòng ngừa lâu dài hiện tượng cao răng màu đen
Để bảo vệ sức khỏe răng miệng toàn diện và ngăn ngừa các bệnh lý nha khoa thường gặp như sâu răng, viêm nướu, cao răng màu đen hay hôi miệng, người dân nên duy trì thói quen chăm sóc răng miệng một cách khoa học và đều đặn. Lúc này bạn nên theo các hướng dẫn dưới đây:
Khám răng định kỳ ít nhất 2 lần mỗi năm
- Việc thăm khám răng miệng tại nha khoa mỗi 6 tháng/lần là cần thiết. Thông qua đó phát hiện sớm và điều trị kịp thời các vấn đề. Ví dụ như sâu răng, cao răng màu đen, viêm lợi, viêm nha chu…
- Bác sĩ sẽ thực hiện các kỹ thuật chuyên sâu như lấy cao răng, đánh bóng răng. Đồng thời kiểm tra khớp cắn, từ đó đưa ra kế hoạch chăm sóc phù hợp.
- Khám định kỳ còn giúp theo dõi sự phát triển và thay đổi men răng qua thời gian. Đặc biệt quan trọng với trẻ em và người lớn tuổi.
Không hút thuốc lá
- Thuốc lá là tác nhân chính gây xỉn màu răng, hôi miệng, viêm lợi. Thậm chí gây ra hiện tượng tụt nướu và ung thư khoang miệng.
- Chất nicotine và hắc ín trong khói thuốc bám chặt vào bề mặt răng. Từ đó gây ố vàng dai dẳng và tổn thương cấu trúc nướu.
- Ngoài ra, hút thuốc làm giảm lưu lượng máu đến mô nướu. Nó sẽ gây chậm lành sau phẫu thuật răng miệng. Đồng thời làm giảm hiệu quả của các phương pháp điều trị nha khoa.

Hạn chế tiêu thụ thực phẩm và đồ uống sẫm màu
- Một số thực phẩm có màu có thể gây ố vàng và bám cao răng. Ví dụ như cà phê, trà đen, nước ngọt có gas, rượu vang đỏ, nước tương, chocolate. Chúng chứa nhiều sắc tố và axit có thể gây xói mòn men răng. Thông qua đó dẫn đến tình trạng cao răng màu đen
- Nếu cần sử dụng, Uống bằng ống hút để hạn chế tiếp xúc trực tiếp với răng.
- Súc miệng hoặc uống nước lọc ngay sau đó. Thông qua đó trung hòa axit và hạn chế hình thành mảng bám.
Dùng chỉ nha khoa và nước súc miệng hàng ngày
- Chỉ nha khoa giúp làm sạch hiệu quả mảng bám và cặn thức ăn giữa các kẽ răng. Đây khu vực mà bàn chải không thể chạm tới.
- Nước súc miệng chứa chất kháng khuẩn (như chlorhexidine hoặc fluoride) nên được sử dụng ít nhất 1 lần/ngày
- Nó sẽ giúp tiêu diệt vi khuẩn gây viêm nướu. Đồng thời Khử mùi hôi miệng và tăng cường bảo vệ men răng.
Đánh răng đúng cách 2 lần/ngày
- Đánh răng vào buổi sáng và buổi tối là nguyên tắc cơ bản giúp loại bỏ mảng bám. Ngoài ra là vi khuẩn và ngăn ngừa hình thành cao răng.
- Sử dụng bàn chải lông mềm để tránh tổn thương nướu.
- Chải răng theo chuyển động tròn nhẹ hoặc từ trên xuống dưới thay vì chà ngang mạnh tay.
- Chọn kem đánh răng chứa fluoride để củng cố men răng và ngăn ngừa sâu răng hiệu quả.

Xây dựng chế độ ăn uống khoa học, tốt cho răng miệng
- Ưu tiên thực phẩm giàu chất xơ như rau xanh, cà rốt, táo,… giúp tăng tiết nước bọt. Đây là một cơ chế tự nhiên giúp làm sạch răng. Đồng thời trung hòa axit trong khoang miệng.
- Bổ sung thực phẩm giàu canxi như sữa, phô mai, hạnh nhân để hỗ trợ cấu trúc men răng.
- Uống đủ 1,5 – 2 lít nước/ngày để duy trì độ ẩm khoang miệng. Thông qua đó giảm nguy cơ khô miệng. Đây là một trong những nguyên nhân phổ biến dẫn đến sâu răng và hôi miệng.
Xem thêm:
- Tam giác đen ở răng là gì? Nguyên nhân và cách điều trị
- Cách trị sâu răng hôi miệng tại nhà hiệu quả
Trên đây là những điều cần biết về hiện tượng cao răng màu đen. Cùng với đó là cách điều trị và phòng ngừa hiệu quả hiện tượng này. Để được tư vấn cụ thể, hãy liên hệ Nha khoa DrGreen theo thông tin bên dưới
Hotline: 0936.996.609
Fanpage: https://www.facebook.com/nhakhoadrgreen
Website: nhakhoadrgreen.vn
Hệ thống Nha khoa Dr Green:
- 40B Lạch Tray, Ngô Quyền, Hải Phòng
- HDS11 Vinhomes Marina, Lê Chân, Hải Phòng
- 38 Tân Dương, Thủy Nguyên, Hải Phòng
- 43 Trần Phú, Cẩm Phả, Quảng Ninh












