Trong một số trường hợp, răng của chúng ta bị gãy do chịu va đập mạnh không mong muốn. Đặc biệt phần răng cửa là phần răng bị ảnh hưởng nhiều nhất do va đập. Người mắc phải sẽ cảm thấy đau nhức khó chịu khi ăn uống. Đồng thời ảnh hưởng đến thẩm mỹ và khiến bạn tự ti khi giao tiếp. Vậy đâu là nguyên nhân khiến bạn bị gãy răng cửa? Làm sao để khắc phục và điều trị hiệu quả? Hãy cùng Nha khoa DrGreen tìm hiểu chi tiết trong bài viết này
Gãy răng cửa gồm những mức độ nào?
Hiện nay, gãy răng cửa được phân thành ba mức độ chính. Nó tùy theo mức độ tổn thương và sự ảnh hưởng đến chân răng:
- Gãy nhẹ (còn chân răng): Đây là tình trạng răng cửa bị sứt mẻ một phần nhỏ. Thông thường không vượt quá 1/3 kích thước răng. Chân răng vẫn chắc chắn, không có dấu hiệu lung lay.
- Gãy vừa: Tình trạng này xảy ra khi phần lớn thân răng bị vỡ. Thông thường lớn hơn 1/3 kích thước răng. Tuy nhiên chân răng vẫn ổn định trong xương hàm.
- Gãy nặng, mất chân răng: Trường hợp này nghiêm trọng hơn. Lúc này toàn bộ cấu trúc thân răng bị gãy. Chân răng có thể lung lay mạnh hoặc bị mất hoàn toàn.

Ảnh hưởng của việc răng cửa bị nứt tới sinh hoạt
Gãy răng cửa có thể ảnh hưởng nhiều đến tính thẩm mỹ và khả năng ăn uống hàng ngày. Cụ thể như sau:
- Tác động đến thẩm mỹ: Răng cửa đóng vai trò quan trọng với thẩm mỹ. Đặc biệt trong việc định hình nụ cười và gương mặt. Việc mất răng ở vị trí này khiến nụ cười kém hài hòa. Từ đó làm giảm sự tự tin khi giao tiếp.
- Giảm khả năng ăn nhai: Răng cửa không chỉ có vai trò thẩm mỹ. Nó còn hỗ trợ cắn, xé thức ăn. Khi mất răng cửa, quá trình ăn uống trở nên khó khăn. Từ đó làm giảm khả năng thưởng thức món ăn. Đồng thời ảnh hưởng đến tiêu hóa do không nhai kỹ thức ăn.
- Gây đau đớn và khó chịu: Phần chân răng vẫn còn nhưng bị tổn thương. Lúc này phần ngà và tủy răng có thể lộ ra ngoài. Điều này gây ra cảm giác đau buốt. Đặc biệt khi tiếp xúc với thức ăn nóng, lạnh hoặc có tính axit cao.

Nguyên nhân gây ra hiện tượng gãy răng cửa
Tác động ngoại lực tới cấu trúc răng
Những va chạm mạnh từ bên ngoài là nguyên nhân phổ biến dẫn đến tình trạng gãy răng cửa. Tai nạn giao thông, chấn thương vùng đầu và mặt trong các hoạt động thể thao. Hoặc tai nạn lao động đều có thể gây tổn thương nghiêm trọng đến răng cửa. Đặc biệt, những cú va đập mạnh trực tiếp lên vùng hàm trước dễ khiến răng bị sứt mẻ. Thậm chí gãy ngang hoặc bật hoàn toàn khỏi xương ổ răng.
Tác động bên trong cấu trúc răng
Một trong những nguyên nhân bên trong dẫn đến gãy răng cửa là tình trạng viêm tủy. Khi răng bị viêm nhiễm tủy, việc điều trị bắt buộc phải làm sạch ổ viêm. Thông qua đó bảo vệ cấu trúc còn lại của răng. Tuy nhiên, sau khi mất tủy, răng trở nên giòn và yếu đi đáng kể. Những chiếc răng này thường được gọi là “răng chết”. Chúng dễ bị bể vỡ khi chịu tác động từ các lực nhai hoặc va đập thông thường.

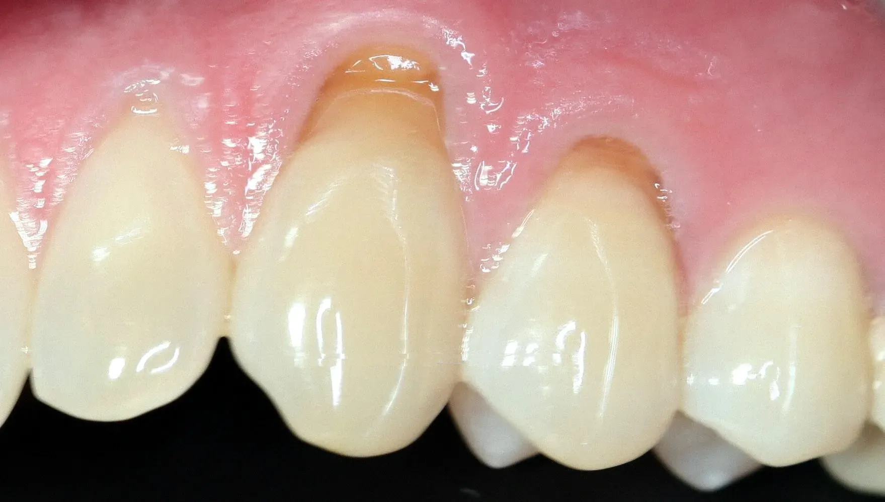
Tình trạng xói mòn cổ chân răng
Xói mòn cổ chân răng thường xảy ra ở những bệnh nhân có men răng yếu. Theo thời gian sẽ dẫn đến sự suy giảm cấu trúc bảo vệ răng tự nhiên. Nguyên nhân của tổn thương này thường do:
- Đánh răng không đúng kỹ thuật, sử dụng lực quá mạnh hoặc bàn chải cứng.
- Tiêu thụ thường xuyên thực phẩm có tính acid cao như nước ngọt có gas, trái cây chua, giấm…
Khi quan sát vị trí cổ chân răng, sẽ dễ nhận thấy vùng khuyết lõm khá rõ rệt. Điều này khiến gãy răng cửa hoặc hư hỏng khi chịu lực tác động mạnh từ bên ngoài. Từ đó gây ảnh hưởng đến chức năng ăn nhai và thẩm mỹ của hàm răng.

Cách điều trị gãy răng cửa hiệu quả và an toàn
Trám răng cửa bị gãy
Phương pháp trám răng là giải pháp nhanh chóng và hiệu quả để phục hồi gãy răng cửa ở mức độ nhẹ. Bác sĩ sẽ sử dụng vật liệu trám như composite hoặc amalgam. Hợp chất này sẽ được bổ sung vào phần răng bị khuyết thiếu. Sau đó tạo hình lại răng sao cho tương đồng với hình dáng ban đầu. Quy trình này thường chỉ mất khoảng 15-20 phút. Từ đó mang lại hiệu quả thẩm mỹ cao và chi phí hợp lý. Tuy nhiên, phương pháp này phù hợp hơn với những trường hợp gãy mẻ nhỏ. Vật liệu trám có thể không bền vững khi chịu lực nhai lớn.

Bọc răng sứ
Đối với những trường hợp gãy răng cửa mẻ lớn, phương pháp trám răng thường không mang lại hiệu quả lâu dài. Khi đó, bọc răng sứ là giải pháp tối ưu. Bác sĩ sẽ sử dụng mão răng sứ được thiết kế tỉ mỉ. Từ đó bao bọc toàn bộ phần răng thật, bảo vệ răng khỏi tác động bên ngoài. Đồng thời khôi phục chức năng ăn nhai. Răng sứ có màu sắc tự nhiên giống răng thật. Chúng mang lại tính thẩm mỹ cao và độ bền chắc lâu dài. Từ đó giúp bệnh nhân thoải mái khi ăn uống mà không lo răng bị bong bật.
Làm cầu răng sứ
Khi răng cửa đã mất hoàn toàn, làm cầu răng sứ là một lựa chọn phục hình phổ biến và nhanh chóng. Bác sĩ sẽ mài nhỏ hai răng thật bên cạnh vị trí mất răng. Thông qua đó làm trụ nâng đỡ cho nhịp cầu răng bao gồm ba mão răng sứ. Trong đó mão răng ở giữa đóng vai trò thay thế răng đã mất. Quá trình phục hình cầu răng sứ thường chỉ cần 2 buổi hẹn với bác sĩ. Tuy nhiên, việc mài răng trụ có thể ảnh hưởng đến cấu trúc và sức khỏe của răng thật. Vì thế phương pháp này cần cân nhắc kỹ lưỡng trước khi lựa chọn.

Trồng răng implant
Phương pháp cấy ghép implant được các chuyên gia đánh giá cao. Điều này nhờ khả năng phục hồi hoàn chỉnh cả chân răng và thân răng. Bác sĩ sẽ cấy trụ implant làm từ titanium vào trong xương hàm để thay thế chân răng đã mất. Sau khi trụ tích hợp chắc chắn với xương, thân răng sứ sẽ được gắn cố định lên trụ implant. Từ đó tái tạo hoàn hảo cả về chức năng ăn nhai lẫn thẩm mỹ.
Răng implant có ưu điểm vượt trội:
- Không cần mài răng kế cận như phương pháp cầu răng.
- Đảm bảo độ bền chắc gần như vĩnh viễn.
- Mang lại cảm giác tự nhiên và thẩm mỹ như răng thật.
Xem thêm:
- Răng cửa bị mé có mọc lại không? Trám hay bọc sứ
- Mài răng cho đều là gì? Giá bao nhiêu? Có tốt không?
Trên đây là những điều cần biết về hiện tượng gãy răng cửa. Cùng với đó là cách điều trị gãy răng hiệu quả và an toàn. Để được tư vấn cụ thể, hãy liên hệ Nha khoa DrGreen theo thông tin bên dưới
Hotline: 0936.996.609
Fanpage: https://www.facebook.com/nhakhoadrgreen
Website: nhakhoadrgreen.vn
Hệ thống Nha khoa Dr Green:
- 40B Lạch Tray, Ngô Quyền, Hải Phòng
- HDS11 Vinhomes Marina, Lê Chân, Hải Phòng
- 38 Tân Dương, Thủy Nguyên, Hải Phòng
- 43 Trần Phú, Cẩm Phả, Quảng Ninh












