Nụ cười trắng sáng là biểu tượng của sự tự tin và sức khỏe. Tuy nhiên, theo thời gian, nhiều người phải đối mặt với tình trạng răng bị ố vàng, xỉn màu do nhiều yếu tố khác nhau. Việc tìm kiếm cách chữa răng ố vàng thành trắng là nhu cầu chính đáng, giúp khôi phục lại vẻ đẹp tự nhiên của nụ cười.
Bài viết chuyên sâu này sẽ cung cấp cho bạn cái nhìn toàn diện về nguyên nhân gây ố vàng răng, các phương pháp điều trị hiệu quả nhất từ nha khoa chuyên nghiệp đến các mẹo an toàn tại nhà, đồng thời chia sẻ kinh nghiệm giữ răng trắng sáng lâu dài. Mục tiêu cuối cùng là giúp bạn hiểu rõ và lựa chọn giải pháp tối ưu nhất để sở hữu hàm răng trắng đẹp.

Nguyên nhân khiến răng bị ố vàng
Để tìm được cách chữa răng ố vàng thành trắng hiệu quả nhất, trước hết chúng ta cần xác định rõ nguyên nhân. Răng ố vàng có thể xuất phát từ thói quen sinh hoạt hàng ngày hoặc do các yếu tố bên trong cơ thể.

Thói quen ăn uống và vệ sinh răng miệng kém
Đây là nhóm nguyên nhân phổ biến và dễ kiểm soát nhất gây ra tình trạng răng bị nhiễm màu:
Thực phẩm và đồ uống có màu đậm: Các chất tạo màu (Chromogens) có trong cà phê, trà đen, rượu vang đỏ, nước ngọt có ga, và một số loại nước ép trái cây đậm màu có thể bám vào men răng, gây nên các vết ố vàng bề mặt.
Hút thuốc lá: Nicotine và Tar có trong thuốc lá là tác nhân gây ố vàng và xỉn màu răng nghiêm trọng nhất, thường tạo ra các vết bám màu nâu đậm hoặc đen rất khó loại bỏ.
Vệ sinh răng miệng không đúng cách: Đánh răng không đủ thời gian (ít hơn 2 phút), không dùng chỉ nha khoa hoặc không lấy cao răng định kỳ sẽ khiến mảng bám tích tụ. Mảng bám và vôi răng không chỉ gây hôi miệng, viêm nướu mà còn hấp thụ màu từ thực phẩm, khiến răng nhanh chóng chuyển sang màu vàng đậm.
Việc điều chỉnh thói quen này là bước đầu tiên và quan trọng nhất trong hành trình tìm cách chữa răng ố vàng thành trắng.
Xem thêm: Những thực phẩm làm răng ố vàng cần hạn chế trong ăn uống hằng ngày
Yếu tố men răng và tác động từ môi trường
Bên cạnh các yếu tố từ bên ngoài, tình trạng răng ố vàng còn chịu ảnh hưởng sâu sắc từ chính cấu trúc răng và những tác động y tế. Khi lớp men răng – phần ngoài cùng có màu trắng ngà – bị bào mòn theo thời gian, do chải răng quá mạnh hoặc tiếp xúc với axit trong thời gian dài, lớp ngà răng (dentin) màu vàng bên dưới sẽ dần lộ ra, khiến răng trông vàng và tối hơn. Một số người còn sở hữu màu răng tự nhiên ngả vàng ngay từ nhỏ do yếu tố di truyền, chẳng hạn men răng mỏng hoặc ngà răng tối màu hơn bình thường. Bên cạnh đó, việc sử dụng các loại kháng sinh như Tetracycline khi còn nhỏ (dưới 8 tuổi) có thể gây nhiễm màu răng từ bên trong, tạo ra các vệt màu xám hoặc nâu rất khó điều trị. Trong khi đó, chấn thương răng do va đập mạnh cũng có thể làm tổn thương tủy, khiến răng đổi màu sang sắc tối hơn.
Với các nguyên nhân nội sinh này, việc tự tìm cách chữa răng ố vàng thành trắng tại nhà thường không mang lại hiệu quả, mà cần đến sự can thiệp của nha khoa chuyên nghiệp.
Các phương pháp chữa răng ố vàng phổ biến
Hiện nay, có hai nhóm phương pháp chính để giải quyết vấn đề răng ố vàng: điều trị chuyên nghiệp tại nha khoa và các giải pháp tự nhiên tại nhà.

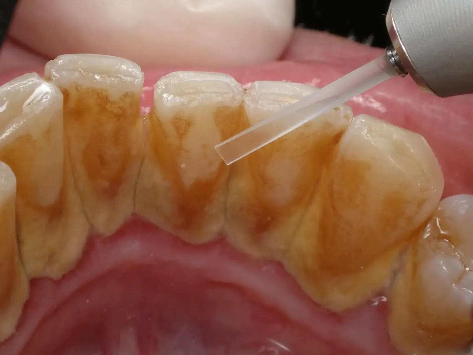
Tẩy trắng răng chuyên nghiệp tại nha khoa
Tẩy trắng răng tại phòng khám là phương pháp hiệu quả và an toàn nhất khi bạn muốn tìm cách chữa răng ố vàng thành trắng trong thời gian ngắn. Trong quá trình này, bác sĩ sẽ sử dụng gel tẩy trắng chứa Hydrogen Peroxide hoặc Carbamide Peroxide với nồng độ cao, sau đó kích hoạt bằng ánh sáng Laser chuyên dụng (như Zoom WhiteSpeed) hoặc đèn Plasma. Nguồn sáng này giúp các phân tử Oxy thẩm thấu sâu vào men và ngà răng, phá vỡ các liên kết gây xỉn màu. Nhờ vậy, hiệu quả tẩy trắng được thể hiện rõ rệt chỉ sau 60–90 phút, với mức độ sáng có thể tăng từ 2 đến 8 tông màu. Toàn bộ quy trình được kiểm soát bởi bác sĩ, đảm bảo an toàn tuyệt đối cho nướu và các mô mềm. Phương pháp này phù hợp với những trường hợp răng ố vàng do thực phẩm, tuổi tác hoặc nhiễm màu nhẹ.
Tại Nha khoa Dr. Green, dịch vụ tẩy trắng răng được thực hiện bởi đội ngũ bác sĩ chuyên khoa giàu kinh nghiệm và sử dụng công nghệ ánh sáng hiện đại, tiên tiến. Khách hàng sẽ được thăm khám kỹ lưỡng, đánh giá màu răng hiện tại và tư vấn chi tiết về mức độ trắng mong muốn.
Xem thêm: Cách tẩy trắng răng ố vàng tại nhà hiệu quả và an toàn
Các cách làm trắng răng an toàn tại nhà
Nếu tình trạng ố vàng nhẹ và chủ yếu do mảng bám bề mặt, bạn có thể áp dụng các biện pháp tại nhà:
Kem đánh răng làm trắng (Whitening Toothpaste): Chứa các hạt mài mòn nhẹ hoặc các chất hóa học giúp đánh bật mảng bám bề mặt. Tuy nhiên, hiệu quả chậm và chỉ tác động ở lớp men ngoài.
Miếng dán/Máng tẩy trắng tại nhà (được kê toa): Sử dụng gel tẩy trắng nồng độ thấp hơn (thường từ 10% đến 20% Carbamide Peroxide) được bác sĩ kê toa và hướng dẫn sử dụng cùng máng niềng cá nhân. Đây là cách chữa răng ố vàng thành trắng hiệu quả, an toàn khi có sự theo dõi của nha sĩ.
Các mẹo dân gian (Baking Soda, Dầu dừa,…): Có thể hỗ trợ làm sạch bề mặt, nhưng cần sử dụng hết sức thận trọng và với tần suất thấp. Đặc biệt, các nguyên liệu có tính axit cao (như chanh) có thể gây mòn men răng nếu lạm dụng.
Xem thêm: Các cách tẩy răng ố vàng tại nhà – Đơn giản mà hiệu quả
Kinh nghiệm giữ răng trắng sáng lâu dài
Sau khi tìm được cách chữa răng ố vàng thành trắng thành công, việc duy trì kết quả là điều quan trọng nhất. Nếu không duy trì thói quen tốt, răng có thể bị nhiễm màu trở lại chỉ sau vài tháng.

Thói quen chăm sóc răng miệng hằng ngày
Chăm sóc răng miệng khoa học chính là nền tảng quan trọng nhất để duy trì một nụ cười trắng sáng và khỏe mạnh lâu dài. Bạn nên chải răng ít nhất 2 lần mỗi ngày bằng kem đánh răng chứa Fluoride, sử dụng bàn chải lông mềm và chải theo chuyển động tròn hoặc dọc để tránh gây mòn men răng. Bên cạnh đó, việc dùng thêm chỉ nha khoa, bàn chải kẽ hoặc máy tăm nước hàng ngày là cần thiết để làm sạch mảng bám ở kẽ răng và đường viền nướu – những vị trí dễ hình thành vết ố vàng nhất. Ngoài việc vệ sinh tại nhà, bạn cũng nên lấy cao răng định kỳ 6 tháng/lần, bởi vôi răng là môi trường lý tưởng cho vi khuẩn và chất tạo màu tích tụ. Đây cũng là một trong những cách chữa răng ố vàng thành trắng mang tính dự phòng hiệu quả và đơn giản nhất.Lưu ý về chế độ ăn uống để hạn chế ố vàng
Chế độ dinh dưỡng đóng vai trò then chốt trong việc duy trì màu răng:
Bên cạnh việc vệ sinh răng miệng đúng cách, điều chỉnh chế độ ăn uống cũng đóng vai trò quan trọng trong việc duy trì nụ cười trắng sáng. Bạn nên hạn chế các thực phẩm và đồ uống dễ tạo màu như cà phê, trà, cola hay nước sốt cà chua đậm; nếu sử dụng, hãy uống bằng ống hút để giảm sự tiếp xúc của chất lỏng với bề mặt răng. Bổ sung thêm các loại thực phẩm có khả năng làm sạch tự nhiên như táo, cà rốt, cần tây cũng rất hữu ích vì chúng kích thích tiết nước bọt và chà xát nhẹ nhàng bề mặt răng. Đồng thời, uống nhiều nước lọc – đặc biệt sau khi ăn đồ đậm màu – sẽ giúp cuốn trôi các chất tạo màu và axit khỏi khoang miệng. Cuối cùng, hãy tránh hút thuốc lá, bởi đây là “kẻ thù số một” khiến răng xỉn màu và là thói quen cần loại bỏ nếu bạn muốn giữ nụ cười luôn trắng sáng và khỏe mạnh.
Đầu tư vào sức khỏe răng miệng chính là đầu tư vào chất lượng cuộc sống và sự tự tin. Để có được một quy trình chữa răng ố vàng thành trắng an toàn, hiệu quả và được bảo hành dài lâu, việc lựa chọn một nha khoa uy tín là điều không thể bỏ qua.
Nếu bạn đang tìm địa chỉ chữa răng ố vàng thành trắng uy tín tại Hải Phòng, Nha khoa Dr. Green chính là lựa chọn lý tưởng để bạn yên tâm chăm sóc nụ cười khỏe đẹp.
HỆ THỐNG NHA KHOA DRGREEN
- Địa chỉ 1: 40B Lạch Tray, Ngô Quyền, Hải Phòng
- Địa chỉ 2: HDS11 Vinhomes Marina, Lê Chân, Hải Phòng
- Địa chỉ 3: 38 Tân Dương, Thủy Nguyên, Hải Phòng
- Địa chỉ 4: 43 Trần Phú, Cẩm Phả, Quảng Ninh
- Hotline: 0936.996.609
- Website: https://nhakhoadrgreen.vn/
- Fanpage:https://www.facebook.com/nhakhoadrgreen
- Email: nhakhoadrgreen@gmail








