Lấy bỏ chân răng, răng gãy vỡ
Lấy bỏ răng gãy vỡ chưa canxi hóa, chưa bao gồm nạo nang và các tiểu phẫu khác ( nếu
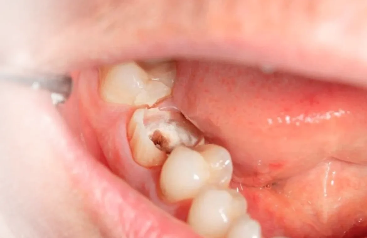
Lấy bỏ răng thông thường
Răng lung lay, răng dễ : 300.000đ Răng thông thường : 500.000đ Tiểu phẫu lấy bỏ răng thông thường ;
Lấy bỏ răng khôn thế hệ mới
Răng khôn là răng cối lớn thứ ba trên cung hàm và thường bắt đầu mọc từ 18 – 25
Điều trị nội nha lại trẻ em
Điều trị nội nha hay còn gọi là điều trị tủy răng là một quy trình điều trị nha khoa cần
Điều trị tủy trẻ em
Khí cụ máy và robot nội nha
Nhổ răng sữa
Ở độ tuổi thay răng, trẻ cần phải tiến hành nhổ răng sữa để lấy khoảng trống cho răng vĩnh viễn phát triển.








