
Nhổ răng có hàm ảnh hưởng đến thần kinh không? Đây là câu hỏi mà nhiều người lo lắng khi phải thực hiện thủ thuật này. Bài

Nhiều người phân vân liệu có nên nhổ răng số 4 không, vì đây là răng tiền hàm, đóng vai trò trong việc ăn nhai và duy

Trong thời đại hiện nay, nhiều người đang tìm kiếm giải pháp để khắc phục tình trạng răng mọc lộn xộn, trong đó bọc sứ được gợi

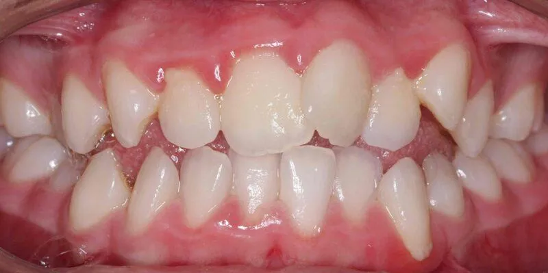
Răng mọc lộn xộn không chỉ ảnh hưởng đến thẩm mỹ khuôn mặt mà còn gây ra nhiều vấn đề về sức khỏe răng miệng như khó

Nhổ răng là một thủ thuật nha khoa thường gặp, nhưng nhiều người vẫn băn khoăn về thời điểm thích hợp để nhổ, đặc biệt là khi

Răng số 7 (răng hàm lớn thứ 2) đóng vai trò quan trọng trong việc nhai và nghiền nhỏ thức ăn trước khi nuốt. Khi răng này











